pc-cursor-icon

임플란트 전후사진 1 페이지

본문 바로가기
햄버거메뉴버튼
  • 서울오케이치과
    • 서울오케이치과
    • 의료진 소개
    • 진료공간
    • 진료시간/오시는 길
  • 의식하진정법 수면임플란트
    • 수면임플란트 특별함
    • 의식하진정법 수면임플란트
    • 네비게이션 임플란트
    • 자가혈 임플란트
    • 스트라우만 임플란트
    • 포인트 UV 임플란트
    • 오스템 임플란트
  • 의식하진정법 수면임플란트 시술 유형
    • 상악동거상술
    • 뼈이식 임플란트
    • 전체 임플란트
    • 재수술 임플란트
    • 앞니 임플란트
    • 틀니 임플란트
  • 의식하진정법 수면치과치료
    • 의식하진정법 수면치과치료
    • 보철치료
    • 충치치료
    • 신경치료
    • 사랑니 발치
  • 치아보험
    • 치아보험 알아보기
    • 구비서류안내
  • 커뮤니티
    • 공지사항
    • 전후사진
    • 자필후기
    • 비급여수가 안내
    • 카카오톡상담
    • 네이버 예약

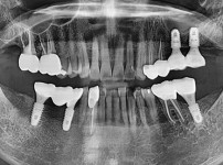
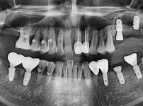
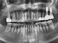
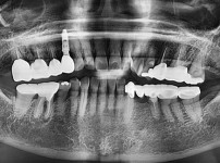
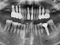
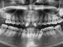
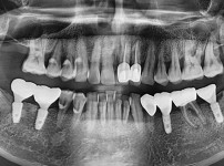
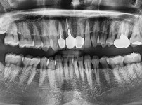
임플란트 전후사진

치료-전후사진-치과-선택의-필수-과정-전후사진을-꼭-확인하세요
Total 846건 1 페이지
번호 치료전후사진 내용
846

뼈이식 / 의식하진정법 수면임플란트 3개 - 포인트임플란트(임*봉님)

해당 게시물은 의료법 제56조에 의거하여 로그인 후 열람이 가능합니다.

845

뼈이식 / 의식하진정법 수면임플란트 3개 - 오스템임플란트(안*식님)

해당 게시물은 의료법 제56조에 의거하여 로그인 후 열람이 가능합니다.

844

뼈이식 / 의식하진정법 수면임플란트 3개 - 오스템임플란트(강*식님)

해당 게시물은 의료법 제56조에 의거하여 로그인 후 열람이 가능합니다.

843

뼈이식 / 의식하진정법 수면임플란트 4개 - 오스템임플란트(송*관님)

해당 게시물은 의료법 제56조에 의거하여 로그인 후 열람이 가능합니다.

842

상악동거상술, 뼈이식 / 의식하진정법 수면임플란트 4개 - 오스템임플란트(허*님)

해당 게시물은 의료법 제56조에 의거하여 로그인 후 열람이 가능합니다.

841

뼈이식 / 의식하진정법 수면임플란트 6개 - 오스템임플란트(강*화님)

해당 게시물은 의료법 제56조에 의거하여 로그인 후 열람이 가능합니다.

840

상악동거상술, 뼈이식 / 의식하진정법 수면임플란트 5개 - 오스템임플란트(김*영님)

해당 게시물은 의료법 제56조에 의거하여 로그인 후 열람이 가능합니다.

839

상악동거상술, 뼈이식 / 의식하진정법 수면임플란트 7개 - 오스템임플란트(홍*숙님)

해당 게시물은 의료법 제56조에 의거하여 로그인 후 열람이 가능합니다.

838

상악동거상술, 뼈이식 / 의식하진정법 수면임플란트 7개 - 오스템임플란트(정*미님)

해당 게시물은 의료법 제56조에 의거하여 로그인 후 열람이 가능합니다.

837

상악동거상술 / 의식하진정법 수면임플란트 4개 - 포인트임플란트(김*규님)

해당 게시물은 의료법 제56조에 의거하여 로그인 후 열람이 가능합니다.

836

상악동거상술, 뼈이식 / 의식하진정법 수면임플란트 3개 - 포인트임플란트(김*겸님)

해당 게시물은 의료법 제56조에 의거하여 로그인 후 열람이 가능합니다.

835

뼈이식 / 의식하진정법 수면임플란트 1개 - 포인트임플란트(허*도님)

해당 게시물은 의료법 제56조에 의거하여 로그인 후 열람이 가능합니다.

834

뼈이식 / 의식하진정법 수면임플란트 2개 - 오스템임플란트(임*무님)

해당 게시물은 의료법 제56조에 의거하여 로그인 후 열람이 가능합니다.

833

뼈이식 / 의식하진정법 수면임플란트 2개 - 오스템임플란트(안*진님)

해당 게시물은 의료법 제56조에 의거하여 로그인 후 열람이 가능합니다.

832

의식하진정법 수면임플란트 2개 - 오스템임플란트(김*욱님)

해당 게시물은 의료법 제56조에 의거하여 로그인 후 열람이 가능합니다.

치과를-선택할-때-꼭-확인하세요-BEFORE&AFTER
임플란트-전후-사진
prev next
서울OK치과를-선택하는-이유-특별함-서울OK치과의-모든-의료진은-환자를-위한-정성과-만족스러운-치료결과를-위해-항상-노력합니다
특별함1-믿을-수-있는-서울대-출신-전문-의료진의-1:1-책임진료-특별함2-치과치료에-대한-두려움을-줄여주는-수면치료-프로그램
특별함3-정확한-진단과-치료를-위한-디지털-장비-보유-특별함4-위생적인-진료를-위한-1인-1기구-사용-철저한-멸균-소독-시스템
특별함5-임상으로-검증되어-안전성-높은-정품-치과-재료-사용-특별함6-수술-후-보증-제도를-통한-환자별-맞춤-수술-후-관리-진행
치료후기-치료받으신-환자분들꼐서-직접-수기로-작성해주신-치료후기
카톡상담-편하게-상담-문의-주시면-친절히-답변해-드리겠습니다
+ +

지도-위-전화번호-주소-진료시간
전화번호-031-941-2875-진료시간-평일-09:30부터-18:30까지-화/목-09:30부터-20:30까지-토요일-점심시간-없이-09:30부터-14:00까지-점심시간-13:00부터-14:00까지-주소-경기도-파주시-청암로-17번길-31-인본빌딩-2층-서울OK치과의원-사업자번호-414-02-92775-서울OK치과의원-대표-정영석-전화-031-941-2875-COPYRIGHT-2021-기적기획-ALL-RIGHTS-RESERVED